Cancer du poumon
Le cancer du poumon est l’une des trois formes les plus fréquentes de cancer. La probabilité de guérison est particulièrement limitée. Toutefois, vous courez moins de risque d'attraper cette maladie si vous ne fumez pas. Le risque peut également être réduit en évitant de vous exposer de manière excessive à l’amiante, au radon et aux rayons X.
Deux types
Les deux types les plus fréquents de cancer du poumon (plus de 95% de tous les cas) sont :- Le cancer du poumon à petites cellules (small cell lung cancer - SCLC)
- Le cancer du poumon non à petites cellules (non-small cell lung cancer - NSCLC)
Les cancers à petites cellules sont très agressifs et prolifèrent rapidement. Lors du diagnostic, il est déjà question de métastases chez 80% des patients. Les cancers non à petites cellules les plus fréquents (près de 75% des cas) constituent un groupe hétérogène, avec pour principales sous-sortes le carcinome épidermoïde, l’adénocarcinome et le cancer du poumon à grandes cellules.
Les cancers non à petites cellules évoluent et se propagent plus lentement. Lors du diagnostic, il est question chez 40% "seulement" des patients de métastases en dehors de la cage thoracique.
Deux types
Les deux types les plus fréquents de cancer du poumon (plus de 95% de tous les cas) sont :- Le cancer du poumon à petites cellules (small cell lung cancer - SCLC)
- Le cancer du poumon non à petites cellules (non-small cell lung cancer - NSCLC)
Les cancers à petites cellules sont très agressifs et prolifèrent rapidement. Lors du diagnostic, il est déjà question de métastases chez 80% des patients. Les cancers non à petites cellules les plus fréquents (près de 75% des cas) constituent un groupe hétérogène, avec pour principales sous-sortes le carcinome épidermoïde, l’adénocarcinome et le cancer du poumon à grandes cellules.
Les cancers non à petites cellules évoluent et se propagent plus lentement. Lors du diagnostic, il est question chez 40% "seulement" des patients de métastases en dehors de la cage thoracique.
Parmi les symptômes possibles, épinglons:
- Une toux persistante
- Des expectorations sanguinolentes
- Douleur dans la poitrine et/ou aux épaules
- Essoufflement
- Perte d’appétit
- Pneumonie ne réagissant pas au traitement
- Fatigue anormale et permanente
- Voix rauque
- Problèmes de déglutition
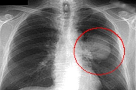
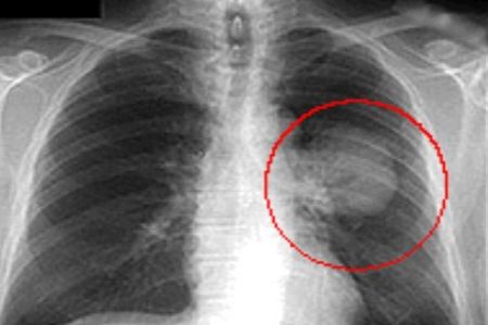
Lorsque, sur la base des douleurs et des caractéristiques du patient, un médecin estime qu’il est question de cancer du poumon, le patient est généralement soumis en premier lieu à une radiographie de la cage thoracique.

Radiographie sur laquelle une tumeur est visible
Il s’ensuit en cas de besoin un CT-scan, lequel fournit entre autres des informations sur la taille, les métastases et les caractéristiques de la tumeur.
En règle générale, le bon diagnostic doit être étayé par une analyse du tissu pulmonaire. La manière avec laquelle les cellules nécessaires à cette analyse sont obtenues est fonction de l’emplacement exact de la tumeur et de son accessibilité.
Parfois, les expectorations (mucus avec salive) suffisent pour procéder à l’analyse (cytologie des expectorations).
Une bronchoscopie peut être effectuée afin d’obtenir du tissu.
Si la tumeur est si profonde dans les poumons qu’elle est hors de portée du bronchoscope, le médecin prélève généralement un échantillon de tissu en enfonçant une aiguille dirigée par un CT-scan (biopsie à l’aiguille) dans la peau.
Parfois, l’échantillon de tissu ne peut être obtenu que par voie opératoire (thoracotomie).
Selon le cas, des examens additionnels peuvent être indiqués.
L’évaluation globale doit déboucher sur un choix entre l’essai d’un traitement agressif visant la guérison, des soins palliatifs ou la décision de ne procéder à aucun traitement. D’une manière très générale, le traitement peut comporter les éléments suivants:
- Dans le cas du cancer du poumon à petites cellules: chimiothérapie, avec ou sans radiothérapie (rayons), en fonction du stade de la tumeur
- Dans le cas du cancer non à petites cellules, l'immunothérapie peut être envisagée ou considérée si une opération est prévue. Le traitement par immunothérapie peut ralentir la croissance des cellules cancéreuses et/ou dérégler le mécanisme par lequel ces cellules parviennent à duper le système immunitaire. Ce dernier peut ainsi combattre plus facilement, lui-même, les cellules cancéreuses. Un certain type d'immunothérapie (médicament avec anticorps) est aujourd'hui intégrée dans le traitement standard de ce cancer.
Dans plus de la moitié des cas, le décès se produit dans l'année qui suit le diagnostic.
Les chances de survie à 5 ans sont faibles: 15% à peine des hommes sont encore en vie, à peu près 20% des femmes.
Ces chiffres n’ont pratiquement pas évolué depuis plus d’un demi-siècle. La mortalité reste donc élevée. Peu de progrès ont été enregistrés ces dernières décennies (à part prolonger la “vie” de quelques mois de plus qu’avant).
Quelques autres facteurs peuvent également augmenter le risque de cancer du poumon: amiante ; radon ; exposition professionnelle à certains substances; pollution de l'air ; exposition aux rayons X par examens médicaux ... On peut donc sans doute réduire un peu son risque par l’adoption de certaines mesures : prendre les précautions requises quand on veut éliminer d'anciens matériaux de construction susceptibles de contenir de l'amiante, éviter de multiplier les examens inutiles par rayons X, prendre des mesures appropriées pour se protéger, le cas échéant, du radon dans son habitation...
Il est également vraisemblable que des facteurs génétiques jouent un rôle. En effet, tous les fumeurs ne développent pas le cancer; et des personnes n’ayant jamais fumé peuvent quand même développer la maladie. Il existe probablement une certaine sensibilité génétique aux agents cancérigènes environnementaux. Mais on ne peut, de ce constat, distiller des mesures de prévention réalistes.
Piste de réflexion controversée
Qu'en est-il du dépistage du cancer du poumon? D'anciennes tentatives (dépistage par radiographie ou par analyse des expectorations) n'ont pas donné de résultats positifs. Aujourd'hui, on s'oriente plutôt vers le dépistage au moyen du scanner (on dit aussi CT-scan ou tomodensitométrie). Comme la radiographie classique, le scanner utilise des rayons X, mais fournit des informations beaucoup plus détaillées. Pour ses partisans, le dépistage régulier par scanner de certains groupes à risque permettrait de sauver des vies. Toutefois, les prises de position en faveur d'un tel dépistage se heurtent à de nombreuses critiques.Une étude américaine
Pour l'heure, l'assise argumentaire la plus robuste en faveur du dépistage est l'étude américaine NLST (National Lung cancer Screening Trial), qui portait sur plus de 50 000 personnes considérées comme présentant un risque élevé de cancer du poumon, comme les fumeurs âgés de 55 à 74 ans ayant par exemple fumé un paquet de cigarettes par jour pendant 30 ans. Le dépistage dans le contexte de cette étude a fait passer le risque absolu de décès par cancer de 1,6% à 1,3%. Il y a eu en tout 1 877 décès dans le groupe scanner, contre 2 000 décès dans le groupe témoin (quelles que soient les causes du décès).Selon les modalités de l'étude NSLT, il faut passer 320 personnes à risque élevé de cancer au scanner durant trois ans pour prévenir un décès lié à ce cancer. Ou encore: 319 personnes se font dépister sans en retirer de bénéfices (mais bien les inconvénients). C'est le propre de tout dépistage: seul une minorité bénéficie, la majorité n'en retire finalement rien.
Besoin de normes de qualité et de contrôles
Il y a plusieurs raisons pour ne pas se précipiter. Actuellement, il n’y a pas de véritables garanties de qualité. L’étude NLST a été réalisée avec la collaboration de centres spécialisés, avec des radiologues formés pour une interprétation aussi correcte que faire se peut des scans. Et les traitements consécutifs ont aussi été dans l’ensemble fait selon les règles de l’art et dans des conditions idéales. Ces conditions sont actuellement loin d'être réunies partout. Une étude en France a montré que le dépistage individuel y est déjà une réalité quotidienne, mais que - en pratique - la plupart de ces dépistages sont réalisés de manière incorrecte. Actuellement, nous n'oserions conseiller aux fumeurs de procéder à un examen de dépistage au scanner: un dépistage qui n'est pas mené du début à la fin dans les règles de l'art va généralement de pair avec plus de risques que de bénéfices. En pratique, il faut des normes de qualité et des contrôles du respect de ces normes. Tant au niveau du dépistage en tant que tel qu’au niveau des soins en cas de découverte d’un cancer.Risque d’examens inutiles
Il y a aussi le risque d’un trop grand nombre d'examens inutiles. Dans l'étude NLST, après des examens complémentaires (pas toujours dénués de risques) pas moins de 96% des anomalies observées au scanner se sont finalement révélées être de "faux positifs", c-à-d de fausses alertes (pas de cancer). Sauver quelques vies se fait donc au détriment de nombreux faux positifs entraînant beaucoup d’examens complémentaires inutiles et qui dans quelques cas peuvent déboucher sur des complications.Le propre de tout dépistage est aussi que l'on détecte également des lésions qui n'auraient jamais évolué, ou si lentement qu'elles n'auraient jamais entraîné de problèmes. Le dépistage débouche donc aussi sur des traitements inutiles, non dénués de risques et d’effets indésirables. Avant d''instaurer chez nous un dépistage systématique du cancer du poumon, il faudra mieux déterminer combien des cancers détectés seraient des cancers indolents, c’est à dire non agressifs, ne nécessitant en fait aucun traitement.
Il faut aussi d'abord déterminer la fréquence idéale de dépistage: scan annuel? Tous les 2 ans ? Pendant combien d'années consécutives ? Et jusqu’à quel âge ?
Finalement, force est de souligner que l’étude américaine NLST reste pour l'heure (2014) la seule ayant démontré de manière convaincante qu’un dépistage dans une population à haut risque permet de sauver des vies. Les études européennes ne donnent pour l’instant pas (encore) à voir de résultats aussi convaincants.
Les mesures anti-tabac et l’accompagnement au sevrage tabagique demeurent vitaux
Bref, pour l'instant, sur base des données actuelles et des nombreuses incertitudes, il serait prématuré d'exposer les fumeurs ou anciens fumeurs (asymptomatiques !) à des examens au bénéfice incertain et aux risques bien réels. En attendant d'en savoir plus, mieux vaut se concentrer sur les mesures incitant les non-fumeurs à ne jamais fumer et aider les fumeurs à rompre avec le tabac.
